Estetické rekonštrukcie
Snažíme sa našu prácu vykonávať čo najprecíznejšie,
aby Váš nový úsmev bol čo najprirodzenejší.
*Prvá prehliadka a konzultácia je úplne bezplatná
Benefity estetickej rekonštrukcie v Smile-Dent

Kompletné vstupné vyšetrenie
Urobíme vám kompletné vstupné vyšetrenie, ktoré prispôsobíme presne podľa potrieb pacienta.
Podrobný liečebný a finančný plán
Z kliniky odchádzate s podrobným liečebným a finančným plánom od lekára.
Klinika s najnovšími technológiami
Pracujeme s vysoko-modernou zubárskou technikou, ktorá vám zabezpečí kvalitné a precízne vyšetrenie.
Ako prebieha estetická rekonštrukcia?
Vyšetrenie a konzultácia
Vykonáme vám dôkladnú prehliadku zubov a zároveň vám zhotovíme podrobné skeny, fotografie a röntgenové snímky. Zhodnotíme vaše potreby a možnosti, aby bol požadovaný výsledok čo najlepší.
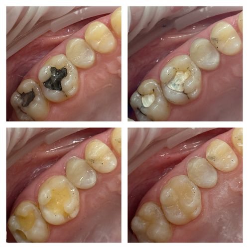
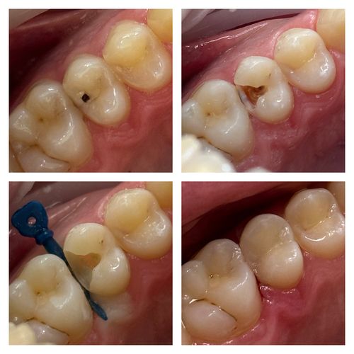
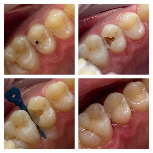
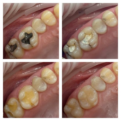
Sanácia
V tejto fáze dochádza k sanácií chrupu, kedy každý jeden zub dostane adekvátne ošetrenie. Podľa akútnosti a stavu sa buď ošetrí kompozitnou výplňou, koreňovou výplňou, alebo sa zub extrahuje. Takto ošetrený chrup je pripravený na obrúsenie zubov.
Meranie
Pre vytvorenie 3D modelu úst vám urobíme odtlačky zubov a úst. Tie použijeme na vytvorenie skutočného modelu a ukážeme vám, ako budú zuby po rekonštrukcii vyzerať. Váš úsmev budete pred rekonštrukciou vidieť z každého uhla a môžeme ešte vykonať potrebné zmeny.
Skúška
Keď sú zuby pripravené na kompletnú rekonštrukciu úst, aplikujeme vám skúšobné zuby aby ste mohli so zubným lekárom posúdiť, ako budete s novými zubami vyzerať, fungovať, cítiť sa a či je potrebné vykonať nejaké estetické alebo funkčné korekcie.
Finálna estetická rekonštrukcia
Z 3D modelu a provizórií sa vytvorí finálna estetická rekonštrukcia úst. Následne náš zubný technik dodá zubom povrchovú anatómiu, textúru a jemné sfarbenie (glazúru), čím vytvorí krásny, kompletný a prirodzený úsmev.
Viac ako 700 spokojných pacientov zo Spišskej Novej Vsi a okolia.

Labore Officia

Dolores Eligendi Laboriosam

Dolorem

Enim Cum Culpa

Sunt Autem Inventore

1000+
Pacientom sme pomohli k zdravému úsmevu.
Často sa pýtate
Konkrétnu cenu vám vieme navrhnúť až po úvodnom vyšetrení a konzultácii.
Ak je ústna hygiena na vyhovujúcej úrovni a nemáte v ústach žiaden kaz a zápal, k výsledku sa vieme dopracovať do 2-3 týždňov.
Životnosť nie je časovo obmedzená. Zväčša záleží na vašej starostlivosti a pravidelných prehliadkach.
Zväčša nejde o inú než estetickú komplikáciu. Dá sa spätne zafixovať, ak nedošlo k jej poškodeniu alebo znehodnoteniu.
Potrebujete poradiť?Kontaktujte nás.
Po obdržaní vyplneného formulára vás budeme najneskôr do 24 hodín kontaktovať. Ak potrebujete rýchlejšiu pomoc, volajte na číslo +421 911 10 43 43









.png)
.png)
.png)
